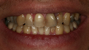
Çürük sebebiyle, kaza sebebiyle veya doğuştan hasarlı olan var olan defektleri mevcut olan dişlerdir…
Estetik dişhekimliğinde birden fazla yöntemle çözülmesi mümkündür.

Çürük sebebiyle, kaza sebebiyle veya doğuştan hasarlı olan var olan defektleri mevcut olan dişlerdir…
Estetik dişhekimliğinde birden fazla yöntemle çözülmesi mümkündür.
