İçeriğe atla
Diş Estetiği Nedir?
AĞIZ VE DİŞ SORUNLARI
Menu düğmesi
Aralık Dişler
Aşınmış Dişler
Çapraşık Dişler
Görünen Diş Etleri
Hasarlı Çürük Dişler
Küçük Dişler
Sarı Dişler
TEDAVİ YÖNTEMLERİ
Menu düğmesi
Diş Beyazlatma
Diş Eti Estetiği
Menu düğmesi
Kuron Boyu
Yumuşak Doku Grefti
Gülüş Tasarımı
İmplant
Kompozit Dolgular
Arka Diş Kompozit Dolgu
Ön Diş Kompozit Dolgu
Porselen Dolgu
Laminate Veneer
Ortodonti
Menu düğmesi
Görünmez Teller
Yetişkin Ortodontisi
Sanal Gülüş Tasarımı
Tam Seramik Kuron
VAKA ÖNCESİ SONRASI
Menu düğmesi
Aralık Dişler
Çarpık Dişler
Dişeti Estetiği
Hasarlı Diş (Aşınmış Diş)
Küçük Diş
Önceden Tedavi Görmüş
Sarı Dişler
Yıpranmış Dişler
Diş Estetiği Nedir?
Main Menu
Anasayfa
Aralık Dişler
Aralık Dişler
Arka Diş Kompozit Dolgu
Aşınmış Dişler
Çapraşık Dişler
Çarpık Dişler
Diş Beyazlatma
Diş Eti Estetiği
Dişeti Estetiği
Görünen Diş Etleri
Görünmez Teller
Gülüş Tasarımı
Gülüş Tasarımı
Hasarlı Çürük Dişler
Hasarlı Diş (Aşınmış Diş)
İmplant
Kompozit Dolgular
Küçük Diş
Küçük Dişler
Kuron Boyu
Laminate Veneer
Ön Diş Kompozit Dolgu
Önceden Tedavi Görmüş
Ortodonti
Porselen Dolgular
Sarı Dişler
Sarı Dişler
Tam Seramik Kuron
Yetişkin Ortodontisi
Yıpranmış Dişler
Yumuşak Doku Grefti
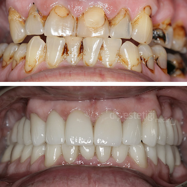
Yıpranmış Dişler
Estetik diş hekimliğinde birden fazla yöntemle çözülmesi mümkündür.
Scroll to Top